Powikłania po RSV u dzieci – co każdy rodzic powinien wiedzieć
- Infekcja RSV, choć często łagodna, może prowadzić do ostrych powikłań, takich jak zapalenie oskrzelików czy bakteryjne zapalenie płuc.
- Długoterminowe skutki obejmują nadreaktywność oskrzeli i zwiększone ryzyko rozwoju astmy w późniejszym dzieciństwie.
- Kluczowe jest rozpoznanie objawów alarmowych, takich jak trudności w oddychaniu, sinica czy apatia, które wymagają natychmiastowej konsultacji lekarskiej.
- Wcześniaki i niemowlęta poniżej 6. miesiąca życia są szczególnie narażone na ciężki przebieg i powikłania.
- Wspieranie dziecka po chorobie obejmuje odpowiednie nawodnienie, nawilżanie powietrza i świadome podejście do powrotu do placówek zbiorowych.

Twoje dziecko przeszło RSV? Zrozum, co dzieje się dalej i na co zwrócić uwagę
Czym są powikłania poinfekcyjne i dlaczego wiedza o nich jest kluczowa dla rodzica?
Jako rodzic, wiem, że przebycie infekcji przez dziecko, zwłaszcza tak uciążliwej jak ta wywołana wirusem RSV, zawsze budzi niepokój. Naturalne jest pytanie, co dalej? Wirus RSV, czyli syncytialny wirus oddechowy, choć u wielu dzieci przebiega łagodnie, potrafi zaskoczyć i prowadzić do poważnych konsekwencji. Powikłania poinfekcyjne to nic innego jak problemy zdrowotne, które pojawiają się w trakcie lub po ustąpieniu ostrej fazy choroby. Mogą być one krótkotrwałe i szybko ustąpić, ale bywają też długoterminowe, wpływając na zdrowie dziecka przez wiele miesięcy, a nawet lat.
Zrozumienie, czym są te powikłania i jak się objawiają, jest dla każdego rodzica absolutnie kluczowe. To właśnie ta wiedza pozwala świadomie monitorować stan zdrowia malucha, wychwycić niepokojące sygnały i zareagować w odpowiednim momencie, szukając pomocy medycznej. Brak informacji często potęguje lęk, dlatego moim celem jest dostarczenie rzetelnych danych, które pomogą Ci poczuć się pewniej w opiece nad dzieckiem po RSV.
RSV a zwykłe przeziębienie – krótkie przypomnienie, dlaczego ten wirus wymaga szczególnej uwagi
Wirus RSV jest często mylony ze zwykłym przeziębieniem, zwłaszcza na początku infekcji, kiedy objawy są podobne – katar, kaszel, lekka gorączka. Jednak w przeciwieństwie do typowych wirusów przeziębieniowych, RSV ma znacznie większy potencjał do wywoływania poważnych chorób dolnych dróg oddechowych, szczególnie u niemowląt i małych dzieci. To właśnie jego zdolność do atakowania oskrzelików – najmniejszych dróg oddechowych w płucach – sprawia, że wymaga on szczególnej uwagi. U niemowląt, zwłaszcza tych poniżej 6. miesiąca życia, a także u wcześniaków czy dzieci z wrodzonymi wadami serca lub płuc, infekcja RSV może prowadzić do ciężkiej niewydolności oddechowej, wymagającej hospitalizacji. Dlatego tak ważne jest, aby nie bagatelizować tej infekcji i być świadomym jej potencjalnych następstw.Skoro już wiemy, dlaczego RSV jest tak istotny, przyjrzyjmy się bliżej problemom, które mogą pojawić się w krótkim czasie po infekcji.

Kiedy problem pojawia się od razu: Powikłania ostre, które mogą wystąpić tuż po infekcji
Ostre powikłania to te, które pojawiają się bezpośrednio po lub w trakcie infekcji wirusem RSV. Są to najczęściej choroby dolnych dróg oddechowych oraz wtórne infekcje bakteryjne, które mogą znacząco pogorszyć stan zdrowia dziecka i wymagać natychmiastowej interwencji medycznej.
Zapalenie oskrzelików: Dlaczego oddech Twojego dziecka jest świszczący?
Zapalenie oskrzelików jest najczęstszą i najbardziej charakterystyczną postacią ciężkiego zakażenia RSV u niemowląt. Wirus atakuje drobne drogi oddechowe, czyli oskrzeliki, prowadząc do ich stanu zapalnego, obrzęku i martwicy nabłonka. W efekcie, w oskrzelikach gromadzi się zwiększona ilość śluzu, co w połączeniu z obrzękiem znacznie utrudnia przepływ powietrza. To właśnie ten proces odpowiada za charakterystyczny, niepokojący świszczący oddech, który często słyszymy u chorego dziecka. Dziecko oddycha szybko i płytko, a każdy wdech i wydech staje się dla niego wysiłkiem.
Wtórne zapalenie płuc: Kiedy wirus otwiera drzwi bakteriom
Zapalenie płuc to kolejne poważne powikłanie, które może wystąpić po infekcji RSV. Czasami jest ono bezpośrednią konsekwencją działania samego wirusa, jednak bardzo często mamy do czynienia z wtórnym nadkażeniem bakteryjnym. Oznacza to, że osłabiony przez wirusa układ oddechowy staje się łatwym celem dla bakterii, które wykorzystują "otwarte drzwi" i wywołują dodatkową infekcję. Typowe objawy zapalenia płuc to wysoka gorączka, duszność, a także kaszel, często z odkrztuszaniem wydzieliny. W przypadku podejrzenia zapalenia płuc, szybka diagnoza i leczenie, często antybiotykami, są niezbędne.
Ostre zapalenie ucha środkowego: Bolesna i częsta konsekwencja infekcji dróg oddechowych
Ostre zapalenie ucha środkowego to bardzo częste powikłanie infekcji dróg oddechowych, w tym również tych wywołanych przez RSV. Może być ono wynikiem bezpośredniego działania wirusa lub, co zdarza się częściej, wtórnego nadkażenia bakteryjnego. Charakterystycznym objawem jest silny ból ucha, często nasilający się w nocy. U maluchów, które nie potrafią jeszcze mówić, może objawiać się płaczliwością, pocieraniem ucha, problemami ze snem czy niechęcią do jedzenia. To powikłanie jest nie tylko bolesne, ale nieleczone może prowadzić do poważniejszych problemów, dlatego zawsze wymaga konsultacji z lekarzem.
Niewydolność oddechowa: Stan, który wymaga bezwzględnej hospitalizacji
Niewydolność oddechowa to najcięższe i najbardziej zagrażające życiu powikłanie infekcji RSV. Polega na tym, że płuca dziecka nie są w stanie dostarczyć wystarczającej ilości tlenu do organizmu lub usunąć dwutlenku węgla. Stan ten jest szczególnie niebezpieczny u dzieci z grup ryzyka, takich jak wcześniaki, niemowlęta poniżej 6. miesiąca życia, a także dzieci z wrodzonymi wadami serca, przewlekłymi chorobami płuc (np. dysplazją oskrzelowo-płucną) czy niedoborami odporności. Niewydolność oddechowa wymaga natychmiastowej hospitalizacji, często tlenoterapii, a w najcięższych przypadkach nawet wentylacji mechanicznej. To sytuacja, w której liczy się każda minuta.Po omówieniu ostrych powikłań, warto spojrzeć w przyszłość i zastanowić się, jakie długofalowe skutki może mieć przebycie infekcji RSV na zdrowie dziecka.
Długofalowe skutki RSV: Co może niepokoić miesiące, a nawet lata po chorobie?
Niestety, skutki ciężkiej infekcji RSV nie zawsze kończą się wraz z ustąpieniem ostrych objawów. W niektórych przypadkach mogą być odczuwalne przez wiele miesięcy, a nawet lat, wpływając na funkcjonowanie układu oddechowego dziecka.
Niekończący się kaszel? Poznaj zjawisko nadreaktywności oskrzeli
Jednym z najczęstszych długoterminowych problemów po infekcji RSV jest zjawisko nadreaktywności oskrzeli. Po przebyciu choroby, nabłonek dróg oddechowych, który został uszkodzony przez wirusa, staje się nadwrażliwy na różne bodźce. Oznacza to, że nawet niewielki czynnik, taki jak wysiłek fizyczny, zimne powietrze, dym tytoniowy, alergeny czy kolejna infekcja, może wywołać skurcz oskrzeli, prowadząc do nawracających epizodów świszczącego oddechu i kaszlu. Dziecko może mieć wrażenie, że "ciągle coś łapie", a każdy katar kończy się uporczywym kaszlem i dusznościami. To nie jest "zwykła" nadwrażliwość, ale realna zmiana w funkcjonowaniu dróg oddechowych.Jak długo może trwać kaszel po RSV i kiedy powinien wzbudzić niepokój?
Warto wiedzieć, że kaszel po infekcji RSV może utrzymywać się znacznie dłużej niż po typowym przeziębieniu – nawet do 4-6 tygodni. Jest to związane z regeneracją uszkodzonego nabłonka dróg oddechowych. Jeśli jednak kaszel zmienia swój charakter, staje się bardziej nasilony, pojawiają się duszności, gorączka lub inne niepokojące objawy, a także jeśli po kilku tygodniach nie widać żadnej poprawy, należy ponownie skonsultować się z lekarzem. To może świadczyć o rozwijającym się powikłaniu lub nadkażeniu bakteryjnym, które wymaga leczenia.
Czy przebycie RSV zwiększa ryzyko astmy? Co mówią badania?
Niestety, badania naukowe wskazują na silny związek między ciężkim zakażeniem RSV w niemowlęctwie a zwiększonym ryzykiem rozwoju astmy w późniejszym dzieciństwie. Dzieci, które były hospitalizowane z powodu infekcji RSV, mają znacząco wyższe ryzyko wystąpienia astmy w kolejnych latach życia. Jak podaje Medycyna Praktyczna, zakażenie RSV w okresie niemowlęcym jest czynnikiem ryzyka rozwoju astmy oskrzelowej w późniejszym wieku. Nie oznacza to, że każde dziecko po RSV zachoruje na astmę, ale jest to ważna informacja dla rodziców, aby bacznie obserwować swoje pociechy i w razie nawracających problemów oddechowych, szukać specjalistycznej pomocy.
Nawracające świsty i problemy z oddychaniem – jak wspierać małego pacjenta?
Jeśli Twoje dziecko doświadcza nawracających świstów i problemów z oddychaniem po przebytej infekcji RSV, istnieje wiele sposobów, aby je wspierać i łagodzić objawy. Oto kilka praktycznych wskazówek:
- Nawilżanie powietrza: Używaj nawilżacza powietrza w pokoju dziecka, zwłaszcza w sezonie grzewczym. Wilgotne powietrze pomaga w rozrzedzaniu wydzieliny i łagodzi podrażnienie dróg oddechowych.
- Unikanie dymu tytoniowego: Bezwzględnie chroń dziecko przed ekspozycją na dym tytoniowy – zarówno aktywnym, jak i biernym. Dym jest silnym czynnikiem drażniącym oskrzela.
- Regularne konsultacje lekarskie: Utrzymuj stały kontakt z pediatrą lub pulmonologiem. Regularne wizyty pozwalają monitorować stan dróg oddechowych dziecka i w razie potrzeby modyfikować leczenie.
- Stosowanie zaleconej terapii: Jeśli lekarz zalecił leki wziewne (np. rozszerzające oskrzela, sterydy), stosuj je ściśle według zaleceń. Są one kluczowe w kontrolowaniu nadreaktywności oskrzeli.
- Unikanie alergenów: Jeśli u dziecka zdiagnozowano alergie, staraj się unikać kontaktu z alergenami, które mogą nasilać objawy ze strony układu oddechowego.
Wiedza o potencjalnych powikłaniach jest ważna, ale równie istotne jest umiejętne rozpoznawanie sygnałów alarmowych, które wymagają natychmiastowej reakcji.
Czerwone flagi: Objawy alarmowe, które wymagają natychmiastowej reakcji rodzica
W opiece nad dzieckiem po infekcji RSV kluczowe jest nie tylko zrozumienie potencjalnych powikłań, ale przede wszystkim umiejętność rozpoznania "czerwonych flag" – objawów, które powinny skłonić rodzica do natychmiastowego kontaktu z lekarzem lub wezwania pomocy medycznej. W takich sytuacjach nie ma czasu na zastanawianie się – szybka reakcja może uratować zdrowie, a nawet życie dziecka.
Trudności w oddychaniu: Jak rozpoznać, że dziecko używa dodatkowych mięśni oddechowych?
Trudności w oddychaniu to jeden z najbardziej krytycznych objawów. Rodzic może je rozpoznać, obserwując następujące sygnały:
- Wciąganie skóry między żebrami (retrakcje): Podczas wdechu skóra między żebrami, pod mostkiem lub nad obojczykami zapada się, tworząc widoczne zagłębienia. To świadczy o tym, że dziecko wkłada duży wysiłek w oddychanie.
- Zapadanie się mostka: Mostek, czyli kość pośrodku klatki piersiowej, wyraźnie zapada się podczas wdechu.
- Poruszanie skrzydełkami nosa: Widoczne, rytmiczne rozszerzanie się i zwężanie skrzydełek nosa przy każdym oddechu.
- Przyspieszony oddech: Dziecko oddycha znacznie szybciej niż zwykle, często z wysiłkiem.
Wszystkie te objawy wskazują, że dziecko używa dodatkowych mięśni oddechowych, aby dostarczyć wystarczającą ilość tlenu do płuc. Jest to sygnał alarmowy, który wymaga natychmiastowej oceny medycznej.
Sinica wokół ust i na palcach: Bezsprzeczny sygnał niedotlenienia
Sinica, czyli niebieskawe zabarwienie skóry, jest bezsprzecznym i bardzo poważnym sygnałem niedotlenienia organizmu. Jeśli zauważysz niebieskawy odcień wokół ust dziecka, na jego palcach rąk lub stóp, oznacza to, że do tkanek nie dociera wystarczająca ilość tlenu. Jest to stan zagrożenia życia i wymaga natychmiastowej interwencji medycznej. Nie czekaj, wezwij pogotowie lub jak najszybciej udaj się do najbliższego szpitala.
Apatia, senność i niechęć do jedzenia: Dlaczego nie można ich ignorować?
Objawy takie jak apatia, nadmierna senność (gdy dziecko jest trudne do wybudzenia lub śpi znacznie dłużej niż zwykle) oraz całkowita niechęć do jedzenia i picia, choć mogą wydawać się mniej dramatyczne niż duszności, są równie niepokojące. Mogą one świadczyć o poważnym osłabieniu organizmu, odwodnieniu, a nawet o rozwijającej się infekcji ośrodkowego układu nerwowego. U małych dzieci, zwłaszcza niemowląt, szybkie odwodnienie jest szczególnie niebezpieczne i może prowadzić do poważnych konsekwencji. Nigdy nie ignoruj tych sygnałów – zawsze skonsultuj je z lekarzem.
Wysoka, trudna do zbicia gorączka po pozornej poprawie – co może oznaczać?
Jeśli Twoje dziecko, po okresie pozornej poprawy stanu zdrowia po infekcji RSV (szczególnie po kilku dniach od ustąpienia ostrych objawów), ponownie dostaje wysokiej gorączki, która jest trudna do zbicia, to jest to sygnał alarmowy. Może to świadczyć o wtórnym nadkażeniu bakteryjnym, na przykład zapaleniu płuc, zapaleniu ucha środkowego lub innej infekcji. Wirus RSV osłabia układ odpornościowy, czyniąc go bardziej podatnym na ataki bakterii. W takiej sytuacji konieczna jest niezwłoczna konsultacja lekarska, aby ocenić stan dziecka i wdrożyć odpowiednie leczenie, które może wymagać antybiotykoterapii.
Kiedy pojawiają się te niepokojące objawy, kluczowe jest, aby wiedzieć, jak lekarz będzie postępował, aby zdiagnozować i leczyć potencjalne powikłania.
Jak lekarz diagnozuje i leczy powikłania po RSV?
W przypadku podejrzenia powikłań po infekcji RSV, lekarz podejmuje szereg działań diagnostycznych i terapeutycznych, aby zapewnić dziecku najlepszą możliwą opiekę. Moim zadaniem jako specjalisty jest dokładne zbadanie małego pacjenta i podjęcie decyzji o dalszym postępowaniu.
Na czym polega wizyta kontrolna po ciężkiej infekcji?
Standardowa wizyta kontrolna u pediatry po ciężkiej infekcji RSV jest niezwykle ważna. Lekarz przeprowadzi szczegółowy wywiad z rodzicami, pytając o przebieg choroby, obecne objawy, jakość snu i apetyt dziecka. Następnie dokładnie osłucha płuca i serce, oceni ogólny stan dziecka, sprawdzi gardło i uszy. Bardzo często podczas takiej wizyty mierzy się również saturację, czyli poziom nasycenia krwi tlenem, za pomocą pulsoksymetru. To bezbolesne badanie dostarcza cennych informacji o wydolności oddechowej dziecka.
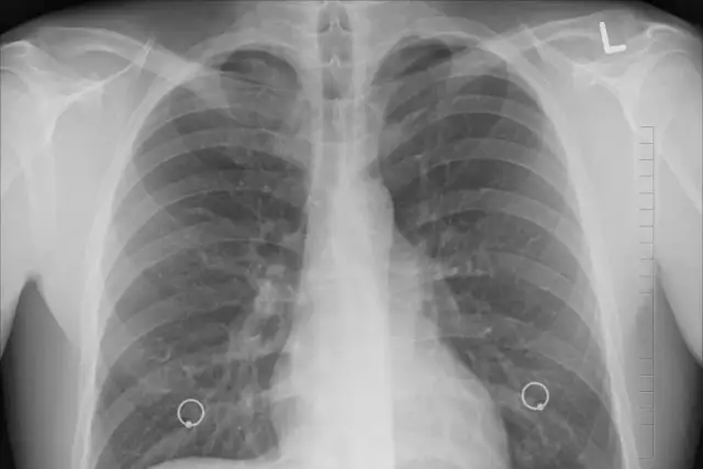
Badania dodatkowe: Kiedy konieczne jest RTG klatki piersiowej lub badanie krwi?
W niektórych sytuacjach, aby postawić trafną diagnozę, lekarz może zlecić dodatkowe badania. Na przykład, przy podejrzeniu zapalenia płuc, zwłaszcza jeśli osłuchowo słychać zmiany lub dziecko ma uporczywą gorączkę i duszności, konieczne może być wykonanie RTG klatki piersiowej. Badanie krwi, w tym morfologia z rozmazem i parametry stanu zapalnego (np. CRP), może pomóc w ocenie, czy mamy do czynienia z infekcją wirusową, czy też doszło do nadkażenia bakteryjnego. Czasami, w przypadku nawracających problemów z uchem, lekarz może skierować na konsultację laryngologiczną.
Leczenie powikłań: Od antybiotykoterapii po leki wziewne
Leczenie powikłań po RSV jest zawsze dostosowywane indywidualnie do stanu dziecka i rodzaju powikłania. W przypadku wtórnych infekcji bakteryjnych, takich jak zapalenie płuc czy ostre zapalenie ucha środkowego, najczęściej stosuje się antybiotykoterapię. Jeśli dziecko cierpi na nadreaktywność oskrzeli lub rozwija się u niego astma, lekarz może zalecić leki wziewne – zarówno te rozszerzające oskrzela, które szybko przynoszą ulgę w duszności, jak i sterydy wziewne, które działają przeciwzapalnie i pomagają kontrolować chorobę w dłuższej perspektywie. W ciężkich przypadkach niewydolności oddechowej, leczenie odbywa się w szpitalu i może obejmować tlenoterapię, a nawet wsparcie oddechowe za pomocą respiratora.
Po przejściu przez ten trudny czas, ważne jest, aby wiedzieć, jak mądrze wspierać dziecko w powrocie do pełni sił i minimalizować ryzyko kolejnych infekcji.
Jak mądrze wspierać dziecko w powrocie do pełni sił po infekcji RSV?
Proces rekonwalescencji po infekcji RSV jest równie ważny, jak samo leczenie. Rola rodzica w tym okresie jest kluczowa – odpowiednie wsparcie może przyspieszyć powrót dziecka do pełni sił i zminimalizować ryzyko kolejnych infekcji i powikłań. Pamiętaj, że cierpliwość i konsekwencja to Twoi najlepsi sprzymierzeńcy.
Rola nawilżania powietrza i prawidłowego nawodnienia w regeneracji dróg oddechowych
Po infekcji RSV drogi oddechowe dziecka są podrażnione i wymagają regeneracji. Dwa proste, ale niezwykle skuteczne działania, które możesz podjąć, to nawilżanie powietrza w pomieszczeniach, w których przebywa dziecko, oraz dbanie o jego prawidłowe nawodnienie. Suche powietrze dodatkowo wysusza błony śluzowe, utrudniając ich gojenie i zagęszczając wydzielinę. Nawilżacz powietrza, zwłaszcza w sezonie grzewczym, pomoże utrzymać odpowiednią wilgotność. Regularne podawanie dziecku płynów – wody, herbaty, rozcieńczonych soków – wspiera rozrzedzanie zalegającej wydzieliny, ułatwiając jej odkrztuszanie i oczyszczanie dróg oddechowych. Pamiętaj, że dobrze nawodniony organizm lepiej radzi sobie z infekcjami i szybciej się regeneruje.
Czy i kiedy wracać do żłobka lub przedszkola, aby uniknąć kolejnych infekcji?
Decyzja o powrocie dziecka do żłobka lub przedszkola po infekcji RSV powinna być przemyślana i skonsultowana z pediatrą. Moja rada jest zawsze taka sama: dziecko powinno być w pełni zdrowe. Oznacza to brak gorączki, ustąpienie kaszlu i kataru, a także powrót do normalnej aktywności i apetytu. Zbyt wczesny powrót do placówki zbiorowej, gdzie dziecko jest narażone na kontakt z innymi wirusami i bakteriami, znacząco zwiększa ryzyko kolejnych infekcji i nadkażeń. Daj dziecku czas na pełną rekonwalescencję – to inwestycja w jego długoterminowe zdrowie.
Przeczytaj również: Objawy astmy u dzieci - Kiedy kaszel i świsty to sygnał alarmowy?
Wzmacnianie odporności po chorobie: Co naprawdę działa?
Po chorobie układ odpornościowy dziecka potrzebuje wsparcia. Oto sprawdzone metody, które pomogą wzmocnić jego odporność:
- Zdrowa, zbilansowana dieta: Zadbaj o to, by dieta dziecka była bogata w warzywa, owoce, pełnoziarniste produkty i zdrowe białka. Dostarczają one niezbędnych witamin i minerałów.
- Odpowiednia ilość snu: Sen jest kluczowy dla regeneracji organizmu i prawidłowego funkcjonowania układu odpornościowego. Pilnuj, aby dziecko spało wystarczająco długo, dostosowując godziny snu do jego wieku.
- Aktywność fizyczna na świeżym powietrzu: Codzienne spacery i zabawy na dworze, niezależnie od pogody (oczywiście z odpowiednim ubiorem), hartują organizm i poprawiają ogólną kondycję.
- Unikanie ekspozycji na dym tytoniowy: To absolutna podstawa. Dym tytoniowy jest silnym immunosupresantem i czynnikiem drażniącym drogi oddechowe.
- Suplementacja witaminą D: Witamina D odgrywa ważną rolę w funkcjonowaniu układu odpornościowego. Jej suplementacja, zwłaszcza w okresie jesienno-zimowym, jest często zalecana, ale zawsze po konsultacji z lekarzem, który dobierze odpowiednią dawkę.
